審美歯科セラミック治療&ホワイトニング
どこが良くなればもっと笑顔が素敵になる?

どこが良くなればもっと笑顔が素敵になるかのアンケートに「気持ち、心から笑えれば」を圧倒的に上回り、ダントツの1位が「歯・歯茎」というデータがあります。
"あなたの笑顔が変わる" そのために、歯並びや噛み合わせを整えたり、ガム(歯茎)や頬粘膜のマッサージなどを行うことで、フェイスラインや口元をきれいに見せることができます。

また、笑顔を素敵に見せるには、ただ単に "白い歯" というだけでは足りません。少なくとも、周りの人から見て自然な口元でなくてはならないのです。
アクロスみなみ野歯科の審美歯科では、しっかりと患者様のお口の中を診て、全体としての自然な笑顔を目指します。アクロスモール八王子みなみ野2階にて、ご来院をお待ちしております。
アクロスみなみ野歯科の審美歯科 診療内容
歯石除去 (保険適用)

歯石は歯磨きではとれません。
そこで、超音波の専門機械や手用器具を用いて歯に沈着した歯石を除去していきます。
歯科医院で定期的に歯石を除去する事により、歯周病・口臭・虫歯の予防になります。
ステイン除去 (保険適用)

ステインの原因となるのは、紅茶・緑茶・コーヒー・赤ワインなどに含まれる色素や、タバコのヤニなどです。それらは日々の生活の中で少しずつ蓄積されていきます。
口臭の予防のためにも、歯磨きでは除去しきれない歯についてしまった汚れを、定期的に除去するよう心がけましょう。
定期検診 (保険適用/自費診療)

白く美しい歯には「虫歯・歯周病・咬合のチェック」「歯磨き指導」「プラーク・歯石除去」など定期検診は欠かせません。定期的にお掃除をしてつるつるの気持ちいい歯を保ちましょう。
自費診療のステイン除去、歯肉マッサージ、専用器具を使って徹底的に虫歯や歯周病の原因を除去するPMTC (プロフェッショナル・メカニカル・トゥース・クリーニング)も行っています。
ホワイトニング ~ご自身の歯を白く (自費診療)

遺伝や加齢・生活習慣などで黄ばんでしまい、歯磨きや歯のクリーニングなどでは落としきれない歯の表面の色素を落とし、歯を明るく白くきれいにしていきます。
アクロスみなみ野歯科では、患者様のご希望により3つのホワイトニング方法からお選びいただけます。
ホワイトニングの種類
オフィスホワイトニング

医院で歯科衛生士が行います
クリニックで歯科衛生士が歯のホワイトニングを行います。歯の表面に専用のホワイトニング薬剤を塗布し、特殊なライトを一定時間照射することで、高いホワイトニング効果を得ることができます。
最近よく見かけるサロンなどでの簡易的なホワイトニングではなく、歯科衛生士にしかできないプロフェッショナルなホワイトニングです。
年末まで30%OFFキャンペーン1回 (上下) 15,400円 (税込) 3回 (上下) 38,500円 (税込)

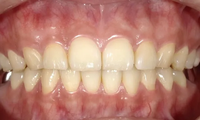
before

after
- 施術内容:
- オフィスホワイトニング
- リスク・副作用:
- 歯の変色の原因によっては、ホワイトニングによる改善が認められない場合があります。
また治療・薬剤によって、知覚過敏や歯がしみたりすることがあります。
※メリット・副作用・リスクには個人差があります。
当院のオフィスホワイトニングでは、患者様により安心していただけるように、低刺激・低濃度で知覚過敏が起こるなどのリスクを抑えながら、高いホワイトニング効果を発揮することができる専用の薬剤を採用しております。
お気軽に、歯科医院ならではの施術をお試しください。
※副作用・リスクには個人差がございます。
ホームホワイトニング

患者様がご自宅で行います
クリニックでマウスピース状のトレーを作成し、ご自宅でトレーに専用のホワイトニング薬剤を入れて、お口に指定のお時間装着していただく事で歯を白くしていきます。
治療にかかる費用は、初回のトレー作成費用のみで、トレーをなくさない限り追加のホワイトニング薬剤をご購入いただくだけで、何度でもホワイトニングが可能です。
年末まで30%OFFキャンペーン10%ジェル (上下) 15,400円 (税込)
デュアルホワイトニング

オフィスとホーム両方を併用
ホームホワイトニングとオフィスホワイトニングを併用して行う治療方法です。それぞれの方法で使用する薬剤の濃度は異なっており、その2つを組み合わせることでより広い浸透範囲や高い漂白効果を得ることができます。
両方のメリットがある反面、2つの方法を併用するため、治療費が高くなることや知覚過敏が起こりやすくなることがあります。
年末まで30%OFFキャンペーン10%ジェル (上下) 27,720円 (税込)
セラミック治療 ~被せ物を白く (自費診療)

セラミックという陶器に似た素材で作られた人工歯を用いて、審美性の良い口元を取り戻したり、作ったりします。
笑った時にチラリと見える銀歯が気になる方には、透明感とツヤのある白い人工歯で自然な見た目を作ることもできますし、すきっ歯や八重歯などは、ワイヤー矯正ではなく、セラミック治療で即日治せることもございます。(※デメリットもあるのでご説明します。)
オールセラミック・ジルコニア・ハイブリッドなど、色味が単調なものから天然歯と見分けのつかないもの、ダイヤモンドなみに硬くて割れにくいものなど、さまざまな種類がございます。
審美歯科は自費診療となります。
審美性までも考えた歯科は自費診療となります。
1.治療目的以外の処置
歯のホワイトニングなどは、疾患や痛みに対する「治療」ではありませんので、保険が適用できなく、自費での施術となります。セラミック人工歯で歯並びをよくする事もこれにあたります。
治療目的外の処置については、医療費控除からも対象外となります。
2.高価な材料を使う場合
また、治療目的としたセラミック治療も、自費診療となります。
一昔前までは、材質も割れやすく、機能よりも見た目優先の治療でしたが、昨今では素材と歯科の技術の進歩により、新たな素材(摩耗や割れに強く経年劣化しにくい白い見た目のジルコニア等)も出てきておりますが、高価ですので自費診療となります。
治療目的の場合は医療費控除の対象となります。
アクロスみなみ野歯科では、歯科としてできる範囲内、患者様のコンプレックスをなくし、日々ストレスを抱えることのない、心までも寄り添った歯科を患者様に提供し続けます。
※医療広告ガイドライン第4 2-④に基づき記載


